Mayo 2024. Hospital Italiano
Paciente de sexo femenino de 37 años de edad, la cual refiere dolor en codo.
Paciente de sexo femenino de 37 años de edad, la cual refiere dolor en codo.
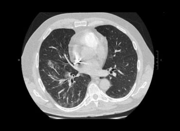
Paciente de sexo masculino de 68 años de edad, que consulta disnea CF III y tos con expectoración sanguinolenta […]
Sexo femenino de 35 años APP Ca de cuello
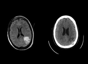
Masculino 17 años HAF
Hombre de 70 años consulta por tos y disnea CF II.
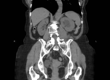
Paciente femenina de 60 años, consulta por dolor pelviano.
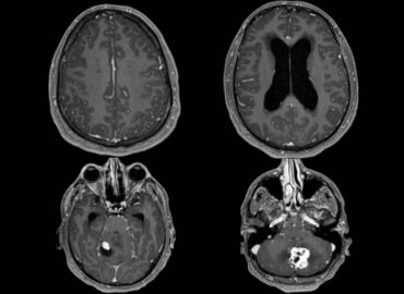
Paciente masculino de 33 años que ingresa por GC con cuadro de cefalea, visión borrosa y mareos de tres […]
Mujer de 30 años sin antecedentes patológicos ni hábitos tóxicos es derivada del interior de la provincia de Córdoba por […]
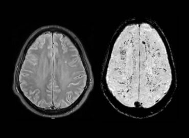
Paciente que consulta por cefalea occipital, de 12 hs de evolución, acompañado de vómitos alimenticios, fotofobia y fiebre
Hemoptisis