Octubre 2023. Hospital Privado
Mujer de 41 años con fiebre sin foco
Mujer de 41 años con fiebre sin foco
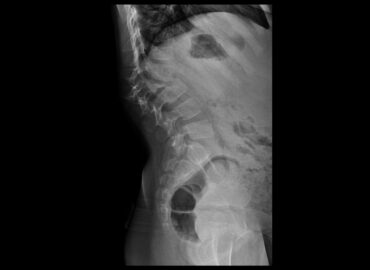
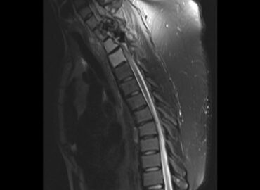
7 años Tumoración lumbar
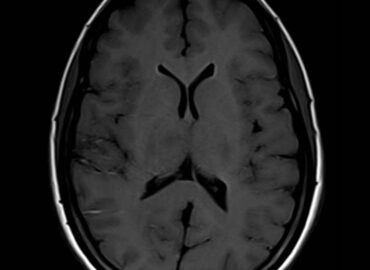
6 años Tumoracion de craneo
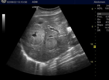
Mujer, 32 años, dolor abdominal
Paciente femenina de 25 años de edad. Ingresa por presentar masa dorsal gigante asociado a lesión cutánea hiperpigmentada y […]
Masculino 40 años de edad HIV + Síndrome febril + pérdida de peso 18 Kg en los últimos 6 […]
Paciente de 32 años secundigesta, nulípara AMED: Tratamiento con Isotretinoina (suspendido 2 meses previos al diagnóstico de embarazo) APP: […]
4 años de edad. Dolor de MMII y cojera de 3 meses de evolución, asociado a episodios IRA y […]
Paciente de 71 años de edad, que consulta por cefalea frontal de 1 mes de evolución, asociada a rinorrea, […]
Paciente femenino de 38 años de edad con APP de esclerodermia e hipotiroidismo, presenta síndrome febril de 3 días […]