CURSO BIENAL
Esta actividad se desarrolla un sábado de cada mes, en el Círculo Médico de Córdoba
TALLER DE RESIDENTES
Esta actividad concentra a los distintos centros formadores de Especialistas en Diagnóstico por Imágenes, cuyos residentes preparan casos de discusión para el diagnóstico con una actualización sobre el tema relacionado al diagnóstico en cuestión y a los diagnósticos diferenciales.
NOVEDADES
23º Jornadas de Residentes 2026
23º JORNADAS DE RESIDENTES EN DIAGNÓSTICO POR IMÁGENES INFORMACIÓN Las 23º Jornadas de Residentes incluyen lo siguiente: Curso Completo. Alojamiento […]
Congreso CIR FAARDIT SORDIC 2026
🌎 ¡Se viene el gran encuentro de la radiología regional! Del 4 al 6 de junio de 2026, Córdoba será […]
Jornadas de Residentes 2025
22º Jornada de Residentes en Diagnóstico por Imágenes 28, 29 y 30 de marzo, 2025. La Falda, Córdoba Un nuevo […]
CASOS DEL MES

Noviembre 2025. Hospital Italiano
Masculino de 61 años. Masa dolorosa en cara anterior de pie derecho.

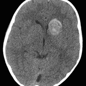
Noviembre 2025. Hospital Italiano
Paciente de 4 años. TEC, Vómitos.

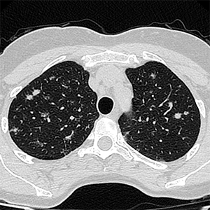
Octubre 2025. Conci Carpinella
Femenina 59 años. Asintomática, Hallazgo en control anual.








