Skip to content
SORDIC
Sociedad de Radiología y Diagnóstico por Imágenes de la provincia de Córdoba
Inicio
Institucional
Comisión Directiva
Historia
Estatuto
Socios
Actividades
CURSO BIENAL
23º JORNADAS DE RESIDENTES
Taller de Presentación de Casos
Taller de residentes
Congreso Internacional
Cursos
Servicios
Costos y honorarios
Boletín de novedades
Campus Virtual
Videos de congresos
Novedades
Contacto
Buscar:
Buscar
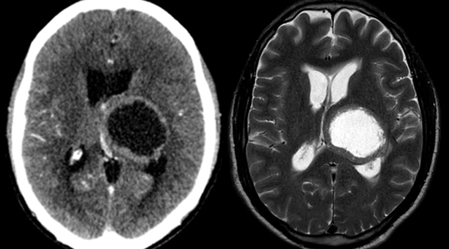
Caso 1 | Abril 2026 | Roentgen
Inicio
Projects
Caso 1 | Abril 2026 | Roentgen
Caso 1 | Abril 2026 | Roentgen
Motivo de consulta: Convulsiones tónico clónicas generalizadas.
Navegación de entradas
Caso 2 | Abril 2026 | Instituto Oulton