CURSO BIENAL
Esta actividad se desarrolla un sábado de cada mes,
en el Círculo Médico de Córdoba
en el Círculo Médico de Córdoba
TALLER DE RESIDENTES
Esta actividad concentra a los distintos centros formadores de Especialistas en Diagnóstico por Imágenes, cuyos residentes preparan casos de discusión para el diagnóstico con una actualización sobre el tema relacionado al diagnóstico en cuestión y a los diagnósticos diferenciales.
NOVEDADES
Taller de Residentes Abril 2026
TALLER DE RESIDENTES ABRIL 2026 El próximo 𝐯𝐢𝐞𝐫𝐧𝐞𝐬 𝟐𝟒 𝐝𝐞 𝐚𝐛𝐫𝐢𝐥 a las 𝟏𝟗:𝟎𝟎 𝐡𝐬., en modalidad presencial en la […]
23º Jornadas de Residentes 2026
23º JORNADAS DE RESIDENTES EN DIAGNÓSTICO POR IMÁGENES El pasado 𝐯𝐢𝐞𝐫𝐧𝐞𝐬 𝟏𝟑 𝐝𝐞 𝐦𝐚𝐫𝐳𝐨, en el 𝐇𝐨𝐭𝐞𝐥 𝐝𝐞𝐥 𝐋𝐚𝐠𝐨 – […]
Congreso CIR FAARDIT SORDIC 2026
🌎 ¡Se viene el gran encuentro de la radiología regional! Del 4 al 6 de junio de 2026, Córdoba será […]
CASOS DEL MES

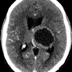
Caso 1 | Abril 2026 | Roentgen
Motivo de consulta: Convulsiones tónico clónicas generalizadas.

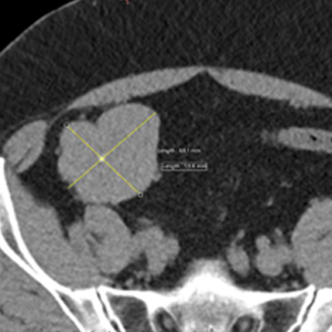
Caso 2 | Abril 2026 | Instituto Oulton
MC: Paciente femenina de 48 años, posmenopausica. Consulta por Metrorragia intermitente de 1 mes de evolución.

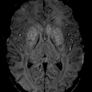
Caso 1 | Abril 2026 | Instituto Oulton
Motivo de consulta: cuadro progresivo de desorientación, apatía, bradipsiquia y disartria, seguido de un episodio de pérdida de conocimiento.

Caso 2 | Abril 2026 | Hospital Italiano
Masculino. 73 años. MC: Dolor unilateral en miembro inferior izquierdo de larga evolución (2 meses) que empeora los últimos días. […]








