Skip to content
SORDIC

SORDIC

Sociedad de Radiología y Diagnóstico por Imágenes de la provincia de Córdoba

  • Inicio
  • Institucional
    • Comisión Directiva
    • Historia
    • Estatuto
    • Socios
  • Actividades
    • CURSO BIENAL
    • 23º JORNADAS DE RESIDENTES
    • Taller de Presentación de Casos
    • Taller de residentes
    • Congreso Internacional
    • Cursos
  • Servicios
    • Costos y honorarios
    • Boletín de novedades
    • Campus Virtual
    • Videos de congresos
  • Novedades
  • Contacto

Archivos: Projects

  • Inicio

Caso 1 | Abril 2026 | Roentgen

Motivo de consulta: Convulsiones tónico clónicas generalizadas.  

Caso 2 | Abril 2026 | Instituto Oulton

MC: Paciente femenina de 48 años, posmenopausica. Consulta por Metrorragia intermitente de 1 mes de evolución.  

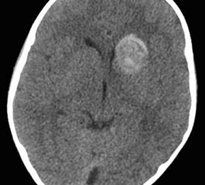
Caso 1 | Abril 2026 | Instituto Oulton

Motivo de consulta: cuadro progresivo de desorientación, apatía, bradipsiquia y disartria, seguido de un episodio de pérdida de conocimiento.  

Caso 2 | Abril 2026 | Hospital Italiano

Masculino. 73 años. MC: Dolor unilateral en miembro inferior izquierdo de larga evolución (2 meses) que empeora los últimos días. […]

Caso 1 | Abril 2026 | Hospital Italiano

45 años. Masculino. MC: dolor inguinal derecho con irradiación a testículo de dos días de evolución.  

Noviembre 2025. Hospital Italiano

  Masculino de 61 años. Masa dolorosa en cara anterior de pie derecho.  

Noviembre 2025. Hospital Italiano

  Paciente de 4 años. TEC, Vómitos.  

Octubre 2025. Conci Carpinella

  Femenina 59 años. Asintomática, Hallazgo en control anual.  

Octubre 2025. Conci Carpinella

  Masculino 75 años, APP: TBC, MC: Tos productiva crónica y disnea.  

Agosto 2025. Sanatorio de la Cañada

  Pte femenino de 52 años, Mc: dolor abdominal difuso, App: hta, Mh: Losartan, A qx: osteosíntesis lumbar.  

Navegación de entradas

Artículos antiguos

Novedades

  • Taller de Residentes Abril 2026 23 abril, 2026
  • 23º Jornadas de Residentes 2026 16 marzo, 2026
  • Congreso CIR FAARDIT SORDIC 2026 11 diciembre, 2025
  • Jornadas de Residentes 2025 19 febrero, 2025
  • Bolsa de trabajo: Ciudad de Río Cuarto 12 noviembre, 2024

Quiénes somos

La SORDIC tiene el propósito de crear una red que vincule a los especialistas en Imágenes de Córdoba y los  proyecte hacia el país y el mundo.

Contacto

Sede: Círculo Médico de Córdoba
Ambrosio Olmos 820
Córdoba, ARGENTINA
E-mail: secretaria@sordic.org.ar
Celular: +54 351 8682711

Horarios de atención

Lunes a viernes
de 9:00 a 13:00 hs.
Copyright © 2026 SORDIC All rights reserved. Theme: Flash by ThemeGrill. Powered by WordPress