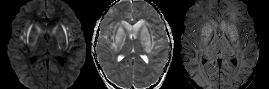
Caso 1 | Abril 2026 | Instituto Oulton Motivo de consulta: cuadro progresivo de desorientación, apatía, bradipsiquia y disartria, seguido de un episodio de pérdida de conocimiento.