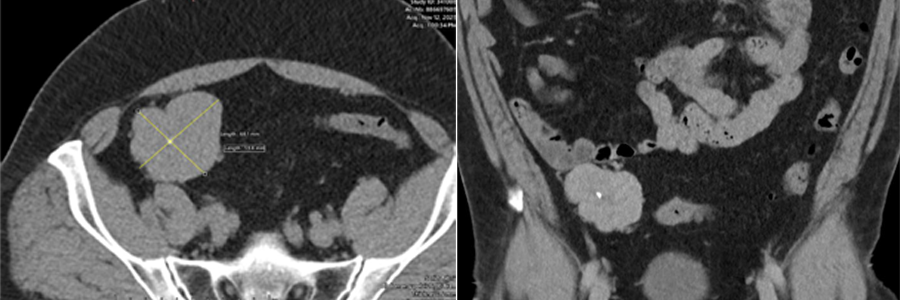
Caso 1 | Abril 2026 | Hospital Italiano 45 años. Masculino. MC: dolor inguinal derecho con irradiación a testículo de dos días de evolución.