Junio 2023. Instituto Oulton
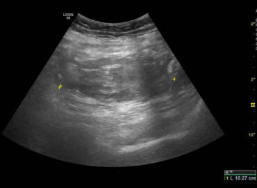
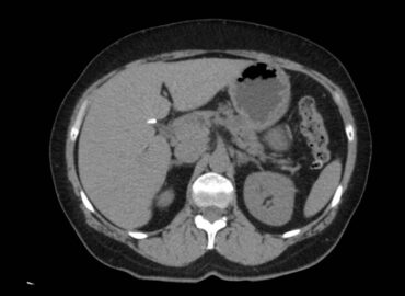
Paciente masculino de 25 años, sano previo, con dolor abdominal
Paciente masculino de 25 años, sano previo, con dolor abdominal
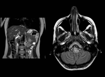
Masculino. 2 años. Tumoración axilar.
Paciente femenina de 64 años. Lipotimia. Hipotensión sostenida.
Paciente masculino de 21 años, oriundo de Corrientes Trabajador en tambo APP: covid + 12/2022 alta epidemiológica. No vacunado […]
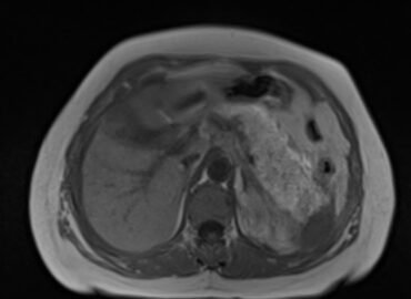
Paciente de sexo femenino de 57 años de edad que acude a consulta por dolor abdominal irradiado hacia el […]
Paciente de 16 años que acude a la guardia presentando vómitos incoercibles y al exámen físico signos de deshidratación. […]
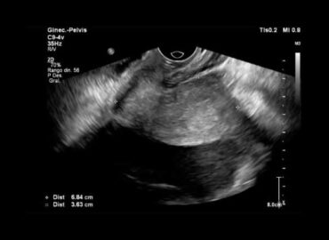
Paciente femenina de 20 años, sin APP, consulta por dolor abdominal agudo.
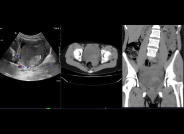
Paciente sexo femenino de 39 años con lumbalgia y hematuria
Paciente masculino de 56 años con APP de DM2, que es derivado a nuestro servicio con diagnóstico de síndrome […]
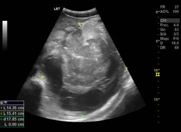
Paciente de sexo femenino de 58 años, niega antecedentes personales patológicos, consulta por dolor abdominal en hipocondrio derecho.