SORDIC
Sociedad de Radiología y Diagnóstico por Imágenes de la provincia de Córdoba
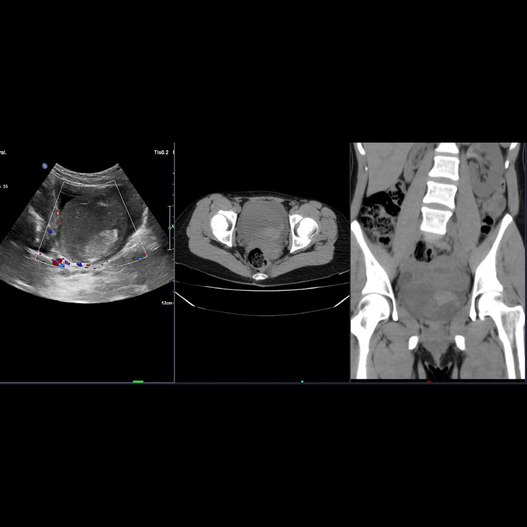
Paciente sexo femenino de 39 años con lumbalgia y hematuria