Skip to content
SORDIC
Sociedad de Radiología y Diagnóstico por Imágenes de la provincia de Córdoba
Inicio
Institucional
Comisión Directiva
Historia
Estatuto
Socios
Actividades
23º JORNADAS DE RESIDENTES
Taller de Presentación de Casos
Curso bienal
Taller de residentes
Congreso Internacional
Cursos
Servicios
Costos y honorarios
Boletín de novedades
Campus Virtual
Videos de congresos
Novedades
Contacto
Buscar:
Buscar
Mayo 2023. Clínica Vélez Sársfield
Inicio
Projects
Mayo 2023. Clínica Vélez Sársfield
Mayo 2023. Clínica Vélez Sársfield
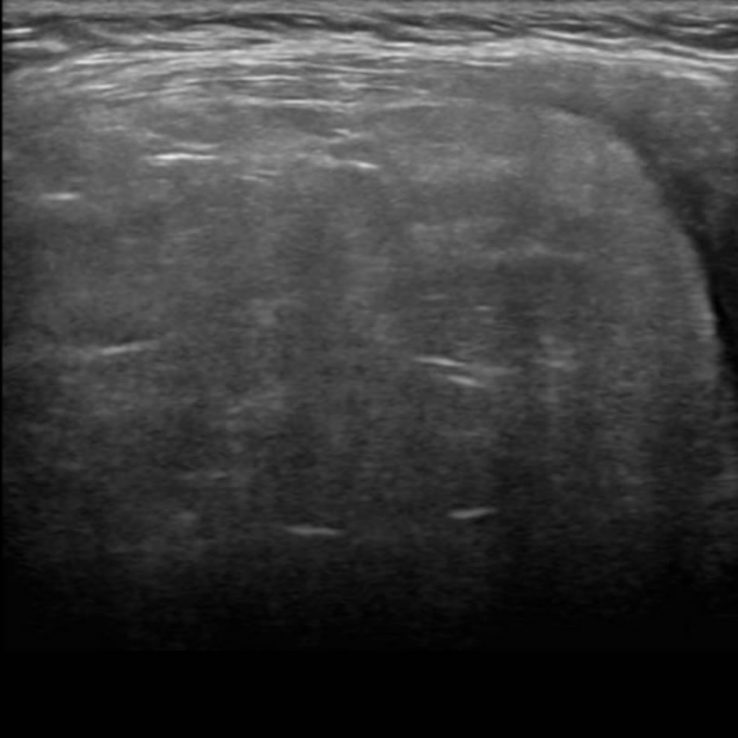
Masculino. 2 años. Tumoración axilar.
Navegación de entradas
Mayo 2023. Clínica Vélez Sársfield
Junio 2023. Instituto Oulton