Noviembre 2022. Hospital Privado
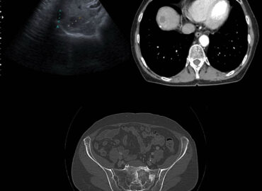
Femenina // 66 años MC: Dolor Abdominal AEA ● Dolor abdominal hipocondrio derecho y pérdida de peso EX FÍSICO […]
Femenina // 66 años MC: Dolor Abdominal AEA ● Dolor abdominal hipocondrio derecho y pérdida de peso EX FÍSICO […]
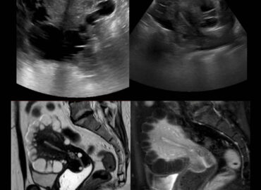
Femenina 44 años Vive en Cosquín Ocupación: Docente/ Abogada Antecedentes personales patológicos: +Obesidad BMI 40 +Enfermedad celiaca +Asma controlado. […]
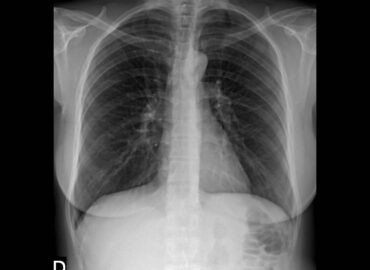
Mujer de 46 años con tos de larga data. Presenta como antecedentes: Enfermedad de Hashimoto medicada levotiroxina 88 mg/d […]
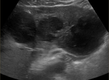
Paciente masculino, 32 años que consulta por tumoración a nivel de partes blandas localizado en flanco y FID. […]
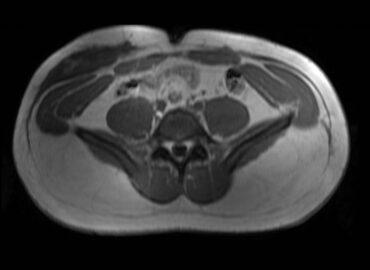
Paciente de sexo masculino de 17 años, que presenta desnutrición severa como antecedente personal, consulta por dolor abdominal en […]
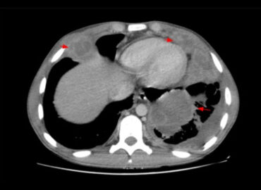
Hombre – 38 años Profesor de bonsai Sin APP relevantes MC: dolor en hipocondrio derecho EF: dolor a la […]
Mujer de 41 años, deportista profesional (remo) con dolor e induración en región coccigea y perianal a la sedestación. […]
Hombre de 70 años, es llevado por familiares a guardia con trastorno del lenguaje, disartria y anosmia.
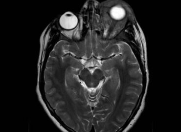
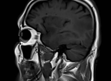
Paciente de 14 años de edad, que consulta por edema palpebral izquierdo de 15 dias de evolucion.
Edema palpebral de ojo izquierdo