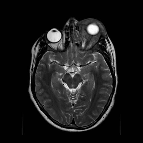
Agosto 2022. Hospital Italiano Paciente de 14 años de edad, que consulta por edema palpebral izquierdo de 15 dias de evolucion.