Femenina // 66 años
MC: Dolor Abdominal
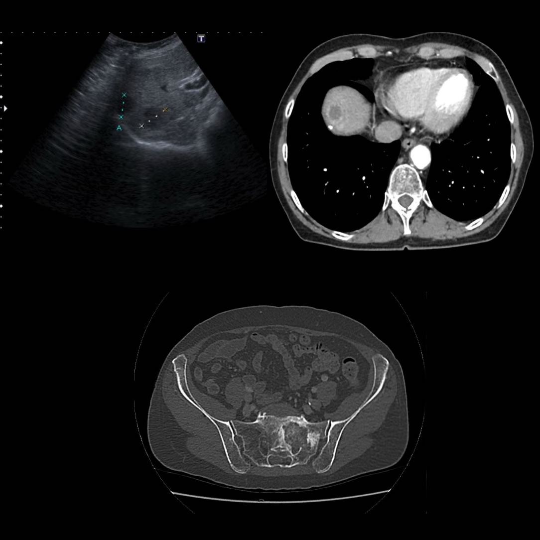
AEA
● Dolor abdominal hipocondrio derecho y pérdida de peso
EX FÍSICO
● Dolor a la palpación profunda en hemiabdomen derecho.
● Resto sp.
APP
● DBT II
● Hipotiroidismo
● Osteoporosis
● HTA
CX
● Tx Hepático(2006)
● Cesárea (x3)
● Ligadura tubaria
● Apendicectomía
● Nodulectomía mamaria
