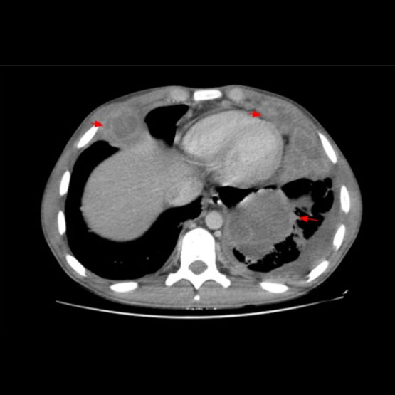
Paciente de sexo masculino de 17 años, que presenta desnutrición severa como antecedente personal, consulta por dolor abdominal en hipocondrio derecho.
Paciente de sexo masculino de 17 años, que presenta desnutrición severa como antecedente personal, consulta por dolor abdominal en hipocondrio derecho.