Junio 2022. Hospital de Niños
Niña de dos años sin App de relevancia que consulto en varias oportunidades en diferentes centros de salud por odinofagia. […]
Niña de dos años sin App de relevancia que consulto en varias oportunidades en diferentes centros de salud por odinofagia. […]
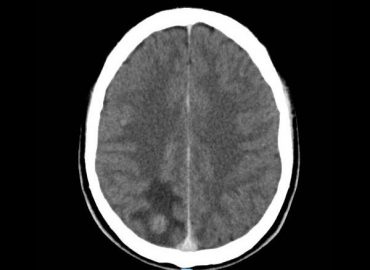
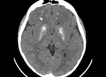
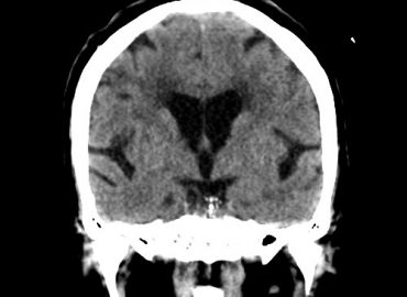
Femenino, 71 años. Sospecha de ACV agudo.
Paciente sexo masculino de 79 años, con antecedentes de HTA y diverticulosis , ingresa por presentar cuadro de lipotimia. Al […]
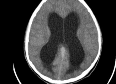
MASCULINO 19 AÑOS APP: NIEGA. ATX: NIEGA. AHF: NIEGA MH: NIEGA MC: CEFALEA, CONVULSIONES
Motivo de Consulta: fiebre (38°-39° C) y dolor lumbosacro.
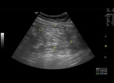
Antecedentes: – Sexo femenino – 50 años – MC: nódulo autopalpable en CSE MI. – Examen mamario: dos nódulos en […]
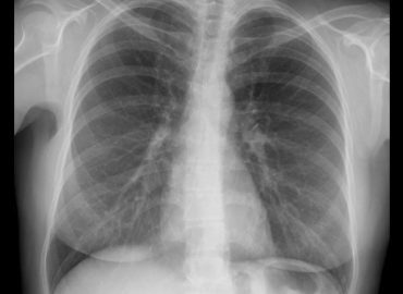
MC: Broncoespasmos.
Paciente de sexo masculino de 10 años de edad, consulta por cefalea
Motivo de consulta: Dolor abdominal
Paciente masculino de 10 años de edad que consulta por convulsiones.