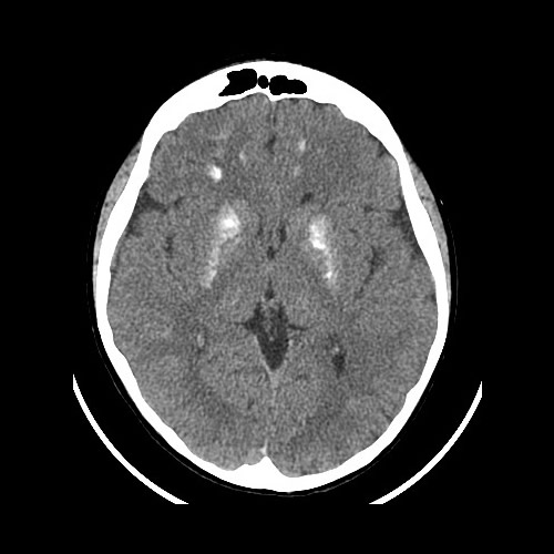
Noviembre 2021. Consultorio Conci Carpinella Paciente masculino de 10 años de edad que consulta por convulsiones.