SORDIC
Sociedad de Radiología y Diagnóstico por Imágenes de la provincia de Córdoba
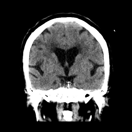
Femenino, 71 años. Sospecha de ACV agudo.