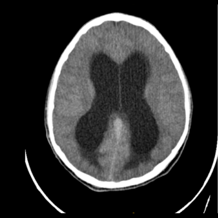
Abril 2022. Sanatorio Del Salvador Paciente de sexo masculino de 10 años de edad, consulta por cefalea