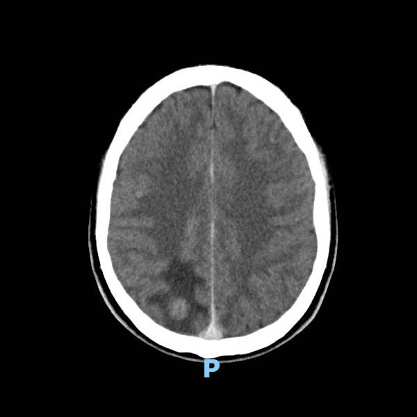
Junio 2022. Instituto Roentgen MASCULINO 19 AÑOS APP: NIEGA. ATX: NIEGA. AHF: NIEGA MH: NIEGA MC: CEFALEA, CONVULSIONES