Noviembre 2021. Consultorio Conci Carpinella
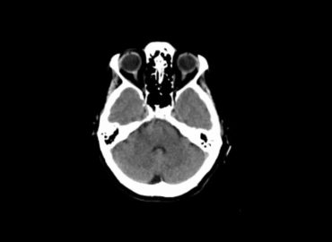
Paciente masculino de 38 años de edad con hipertensión arterial en estudio que consulta por cefalea y dolor abdominal.
Paciente masculino de 38 años de edad con hipertensión arterial en estudio que consulta por cefalea y dolor abdominal.
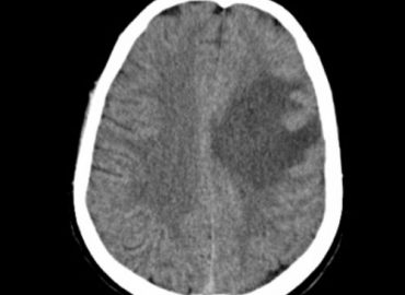
Paciente masculino de 47 años con antecedente de trasplante renal. Consulta a la guardia refiriendo cefalea de 48 hs de […]
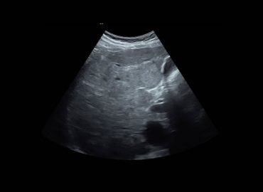
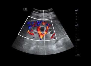
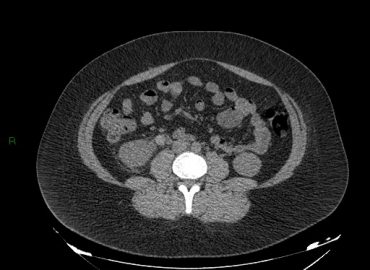
Paciente sexo femenino de 32 años que consulta por hematuria y dolor lumbar derecho
Paciente masculino de 47 años, cursando infección por SARS CoV-2, presenta afasia mixta y disartria
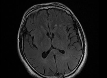
70 años. Cefalea
Mujer de 28 años con coxalgia derecha progresiva de un año de evolución.
Paciente de 29 años de edad con APP de AR, vitiligo y covid recuperado. MC: dolor en miembros inferiores […]
Paciente de 4 años con síndrome febril asociado a flemón odontogeno.
Paciente de 11 años. Alteración de sensorio.
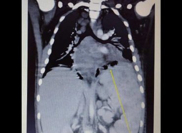
Paciente de 37 años, gestante, concurre a consulta obstétrica y se visualiza como hallazgo hepatomegalia y multiples nódulos hepáticos a […]