Junio 2021. Instituto Oulton
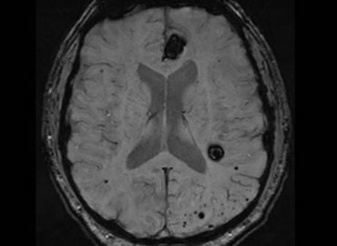
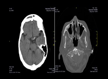
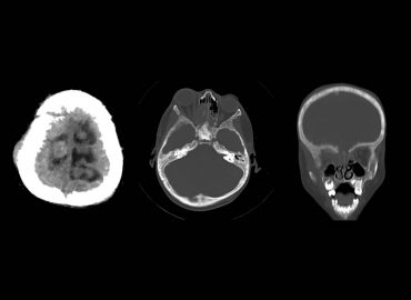
Hombre de 55 años, con antecedentes de cardiopatía y FA, consulta por sindrome convulsivo.
Hombre de 55 años, con antecedentes de cardiopatía y FA, consulta por sindrome convulsivo.
Caso clínico: Masculino de 5 años de edad oriundo de Salta Capital es derivado a nuestra institución por presentar deformidad frontoparietal […]
Caso clínico: Varón de 14 años. Motivo de consulta: Tortícolis de comienzo brusco -> luego de estar en cama / […]
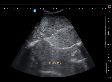
Pte de sexo femenino, 60 años. MC Dolor epigástrico
Embarazo de 26,2 semanas. MC Genitorragia
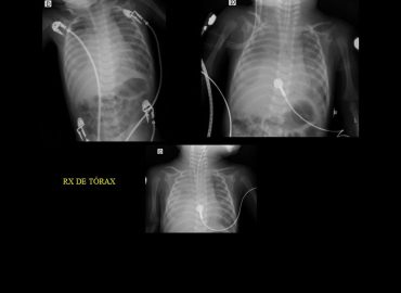
Escasa ganancia ponderal. Crisis de cianosis generalizada
Paciente de sexo femenino 75 años MC: Ptosis palpebral derecha y parálisis ocular homolateral
Distensión abdominal
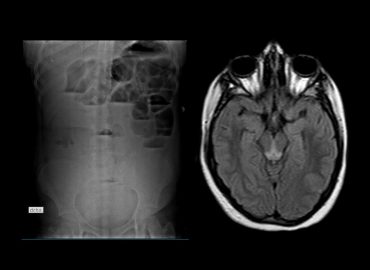
12 años – Abdomen agudo – Síndrome confusional.
Presentado por: Instituto Modelo de Cardiología Disuria, 2 años y 10 meses.