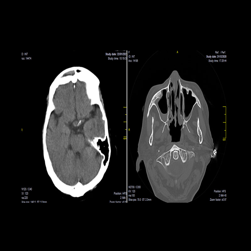
Abril 2021. Instituto Roentgen Paciente de sexo femenino 75 años MC: Ptosis palpebral derecha y parálisis ocular homolateral