SORDIC
Sociedad de Radiología y Diagnóstico por Imágenes de la provincia de Córdoba
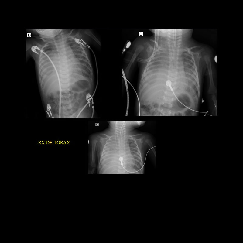
Escasa ganancia ponderal. Crisis de cianosis generalizada