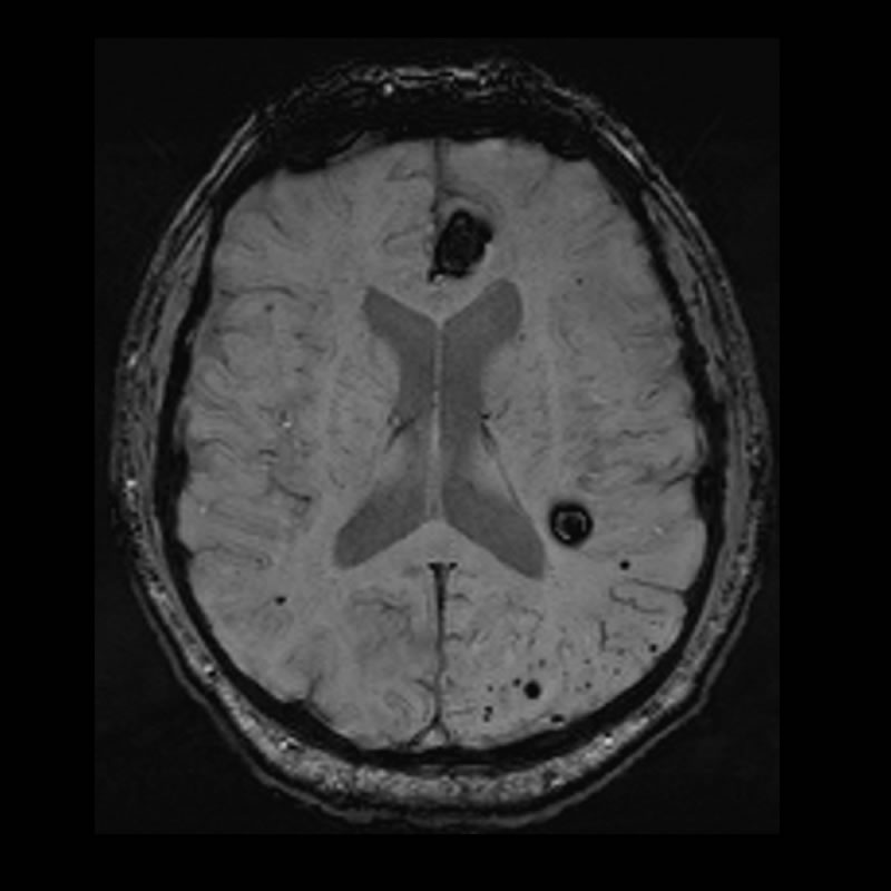
Junio 2021. Instituto Oulton Hombre de 55 años, con antecedentes de cardiopatía y FA, consulta por sindrome convulsivo.