Octubre 2020. Conci Carpinella
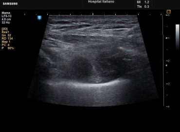
Paciente con masa palpable en mama
Paciente con masa palpable en mama
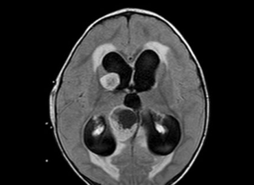
Inestabilidad en la marcha
15 años. Gonalgia. Trauma hace 6 meses
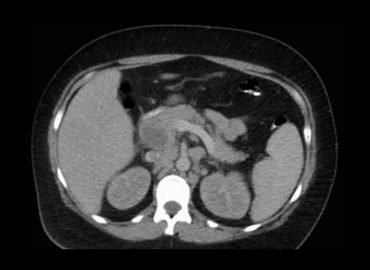
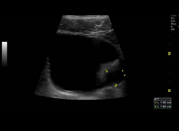
Dolor en FID y Leucocitosis.
Paciente de 39 años consulta por cuadro de diarrea, dolor abdominal, fiebre y perdida de peso (10kg) de 2 meses […]
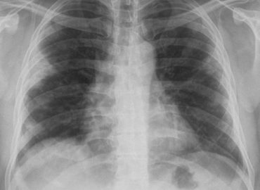
Paciente masculino de 40 años. Consulta por Fiebre y Disnea de una semana de evolución. Sin respuesta a antibióticoterapia.
Niño – 4 Años (buen estado general) sin APP. Padres refieren dolor leve de una semana de evolución, localizado a […]
Paciente que consulta por Odinofagia, Fiebre y Otalgia. Pérdida de 20 kg en 2 meses.
Paciente masculino de 11 años de edad. MC: dolor y debilidad de MMII izquierdo, asociado a cefaleas esporádicas de 3 […]
Femenina 64 años Motivo de Consulta: Tos y equivalentes febriles