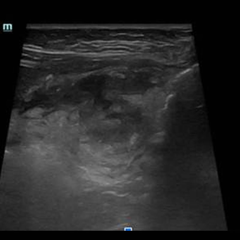
Niño – 4 Años (buen estado general) sin APP. Padres refieren dolor leve de una semana de evolución, localizado a nivel del epigastrio e hipocondrio derecho.
Niño – 4 Años (buen estado general) sin APP. Padres refieren dolor leve de una semana de evolución, localizado a nivel del epigastrio e hipocondrio derecho.