Octubre 2019. Conci Carpinella
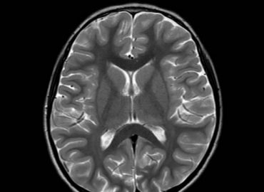
Paciente 27 Años, Foco motor derecho
Paciente 27 Años, Foco motor derecho
Mujer de 51 años. MC: anemia, náuseas, vómitos y diarrea.
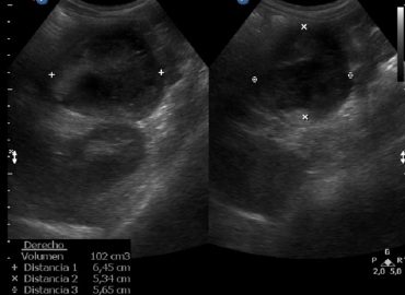
Niño de 3 años, sin antecedentes previos. Motivo de consulta: fiebre y disuria de 5 días de evolución Ecografía renovesical […]
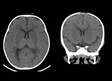
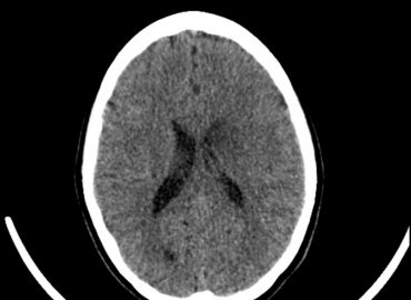
Paciente: femenina de 9 meses de edad Motivo de consulta: episodios convulsivos.
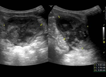
Sexo: masculino Edad: 26 años MC: dolor en región lumbar izquierda
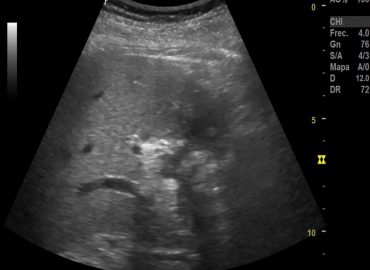
Paciente: masculino Edad: 11 años. Motivo de consulta: dolor abdominal. App: traumatismo.
Paciente Femenina, 32a. APP: Diabetes I, Asma, neurofibromatosis (dx hace 4 años) MC: dolor abdominal, distensión y lipotimia.
Paciente masculino 52a MC: epigastralgia, distensión, inapetencia APP: DBT, HTA, pólipos gástricos, sinusitis, gastritis erosiva, HP + (VEDA). AQX: – […]
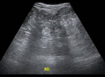
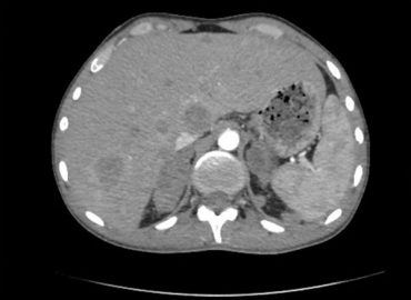
Paciente femenina de 60 años de edad que consulta por vómitos e hipotensión.
Niña de 5 años de edad, debut de crisis convulsiva.