SORDIC
Sociedad de Radiología y Diagnóstico por Imágenes de la provincia de Córdoba
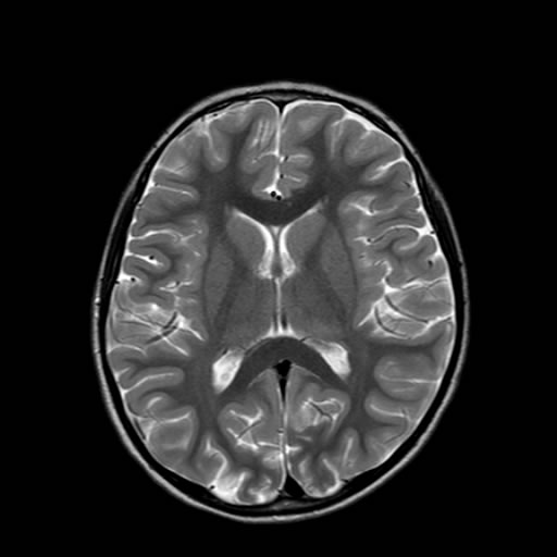
Niña de 5 años de edad, debut de crisis convulsiva.