SORDIC
Sociedad de Radiología y Diagnóstico por Imágenes de la provincia de Córdoba
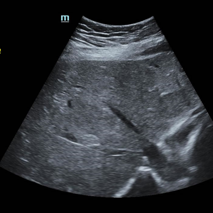
Mujer de 51 años. MC: anemia, náuseas, vómitos y diarrea.