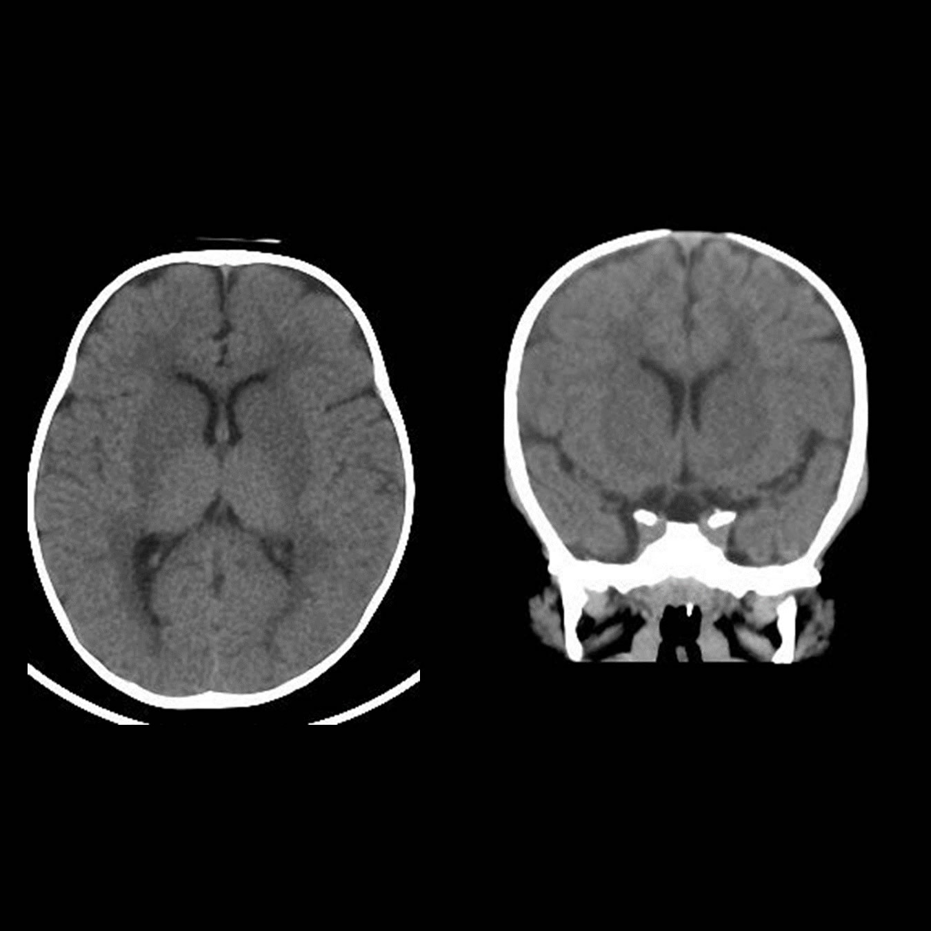
Octubre 2019. Clínica Vélez Sársfield Paciente: femenina de 9 meses de edad Motivo de consulta: episodios convulsivos.