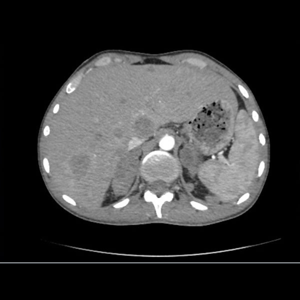
Septiembre 2019. Nuevo Hospital San Roque Sexo: masculino Edad: 26 años MC: dolor en región lumbar izquierda