Mayo 2019. Instituto Oulton
Paciente masculino de 34 años con distensión y dolor abdominal.
Paciente masculino de 34 años con distensión y dolor abdominal.
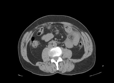
Paciente masculino de 30 años de edad, con dolor abdominal y hematuria.
Paciente masculino de 57 años, dolor abdominal. AEA: Traumatismo
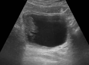
Paciente femenina de 41 años con dolor abdominal y deposiciones blandas. APP: sana previa
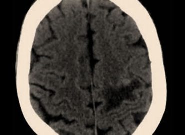
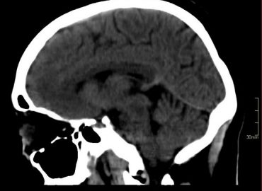
Paciente femenina de 35 años que consulta por mareos y diplopía. APP: hepatitis autoinmune (hace 11 años).
Paciente masculino de 36 años de edad. Motivo de consulta: odinofagia y rigidez mandibular.
Paciente masculino de 47 años de edad acude ictérico a su control de anticoagulación oral.
Masculino 51 años Motivo de consulta: dolor muslo derecho- disbasia
Masculino 60 años Motivo de consulta: Accidente vía pública-politraumatismo