SORDIC
Sociedad de Radiología y Diagnóstico por Imágenes de la provincia de Córdoba
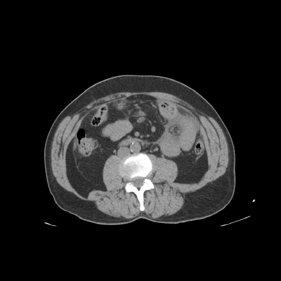
Paciente masculino de 57 años, dolor abdominal. AEA: Traumatismo