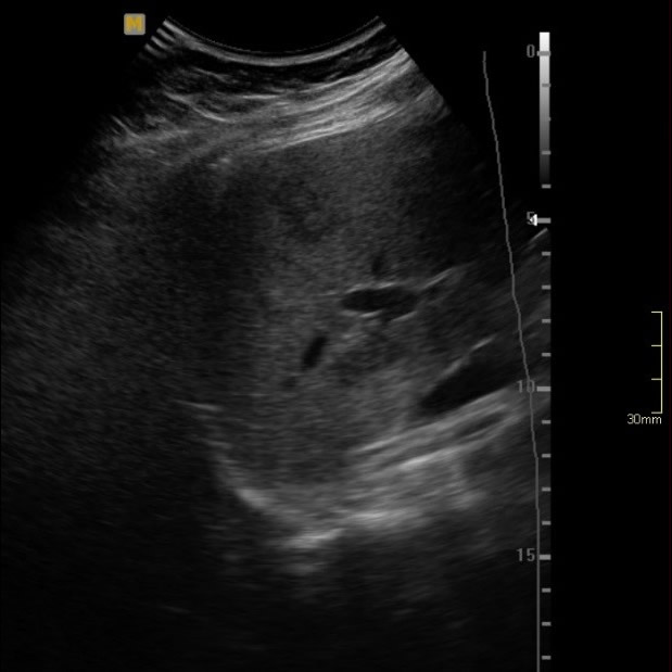
Abril 2019. Hospital Privado Paciente femenina de 41 años con dolor abdominal y deposiciones blandas. APP: sana previa