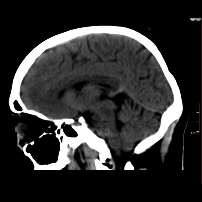
Abril 2019. Hospital Privado Paciente femenina de 35 años que consulta por mareos y diplopía. APP: hepatitis autoinmune (hace 11 años).