SORDIC
Sociedad de Radiología y Diagnóstico por Imágenes de la provincia de Córdoba
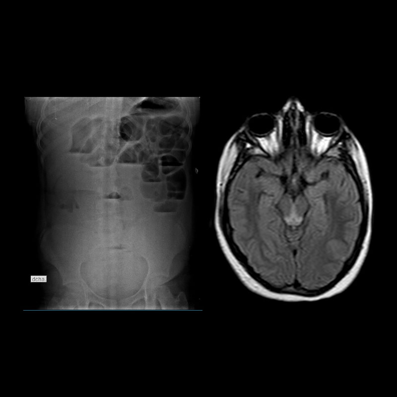
12 años – Abdomen agudo – Síndrome confusional.