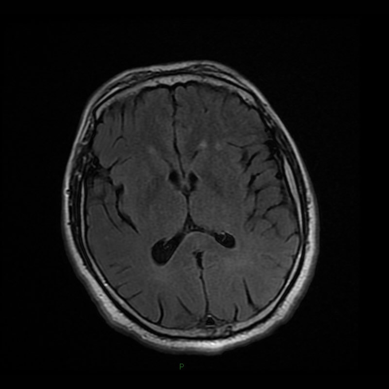
Septiembre 2021. Clínica Vélez Sársfield Paciente masculino de 47 años, cursando infección por SARS CoV-2, presenta afasia mixta y disartria