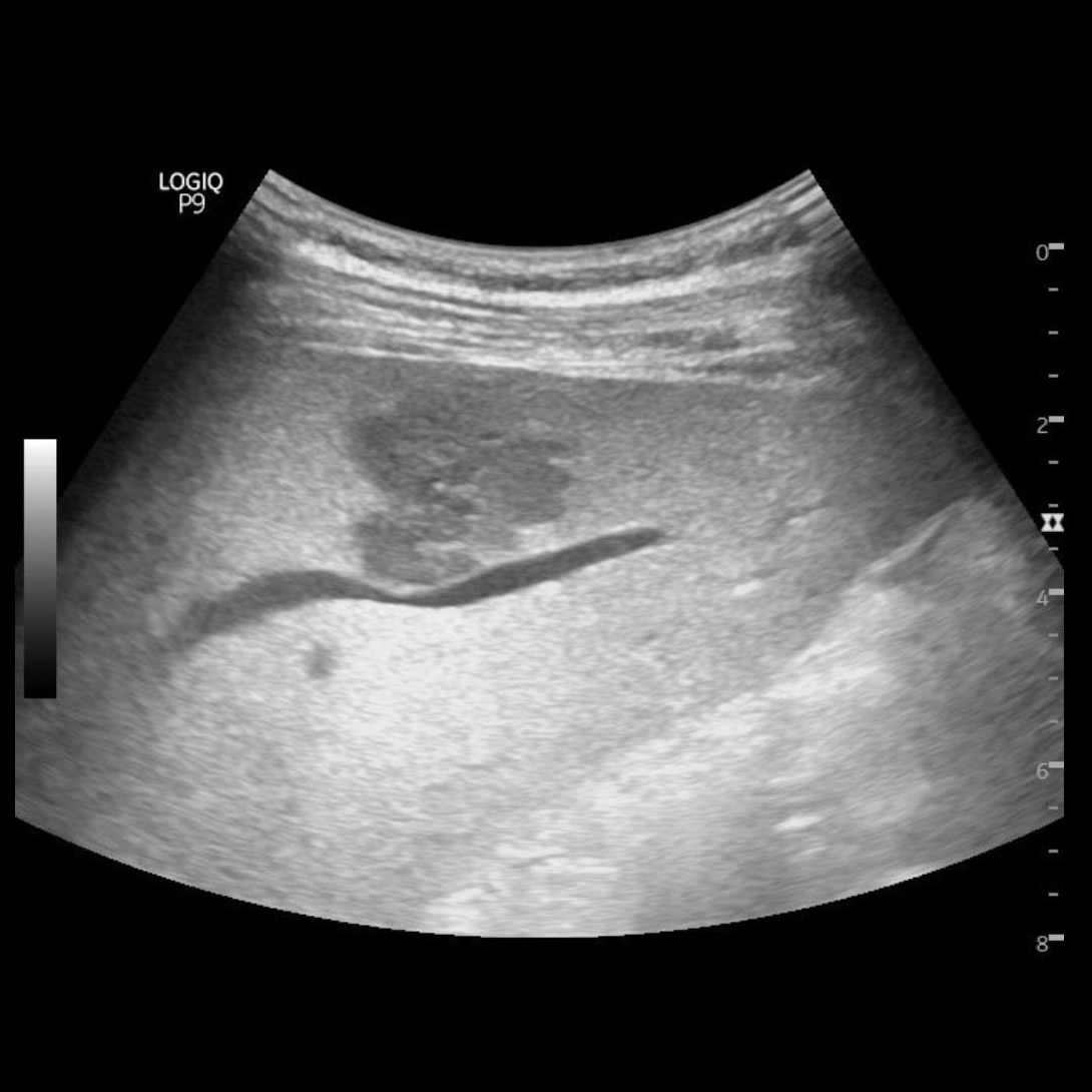
Agosto 2023. Clínica Reina Fabiola Masculino 40 años de edad HIV + Síndrome febril + pérdida de peso 18 Kg en los últimos 6 meses