Sociedad de Radiología y Diagnóstico por Imágenes de la provincia de Córdoba
Mayo 2024. Hospital Italiano
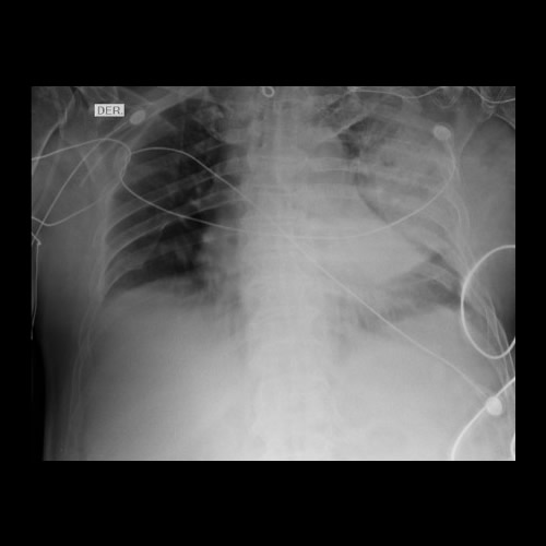
Paciente de sexo masculino de 68 años de edad, que consulta disnea CF III y tos con expectoración sanguinolenta de 7 días de evolución con registros subfebriles. Se solicita Rx de tórax.