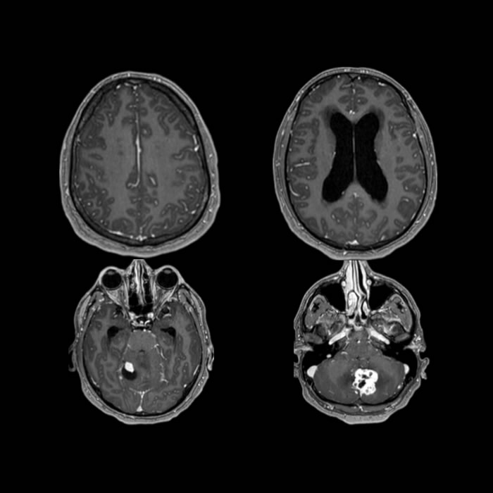
Noviembre 2023. Sanatorio Allende Paciente masculino de 33 años que ingresa por GC con cuadro de cefalea, visión borrosa y mareos de tres semanas de evolución.