Sociedad de Radiología y Diagnóstico por Imágenes de la provincia de Córdoba
Noviembre 2023. Hospital San Roque
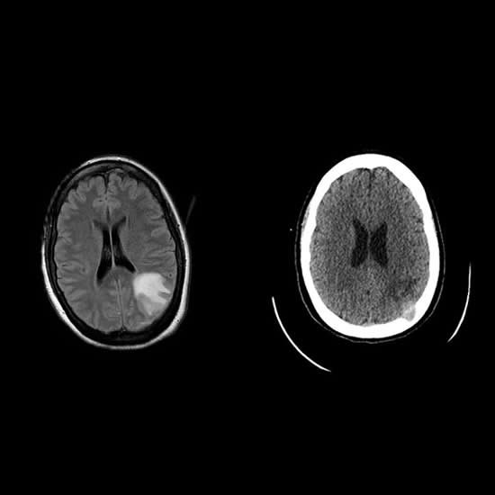
Mujer de 30 años sin antecedentes patológicos ni hábitos tóxicos es derivada del interior de la provincia de Córdoba por Síndrome Convulsivo con antecedente de un TEC en contexto de violencia de género de hace un mes aproximadamente.