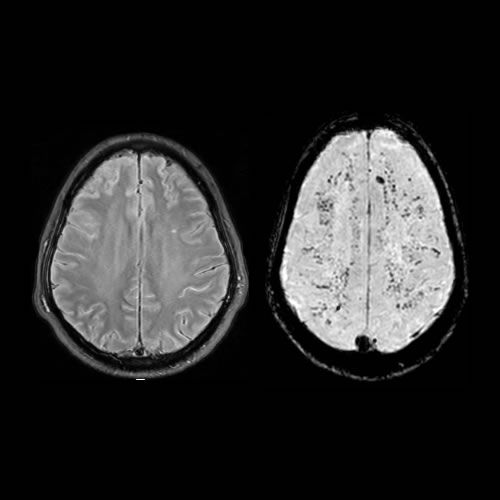
Noviembre 2023. Sanatorio Allende Paciente que consulta por cefalea occipital, de 12 hs de evolución, acompañado de vómitos alimenticios, fotofobia y fiebre