Agosto 2024. Hospital San Roque
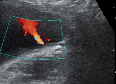
Paciente de sexo femenino, 58 años
Paciente de sexo femenino, 58 años
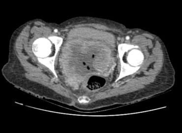
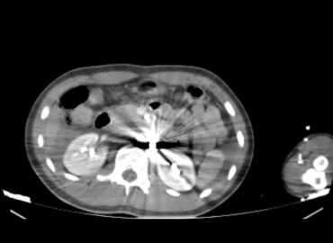
Masculino de 67 años. Dolor abdominal localizado en FII
46 años. Control ginecológico
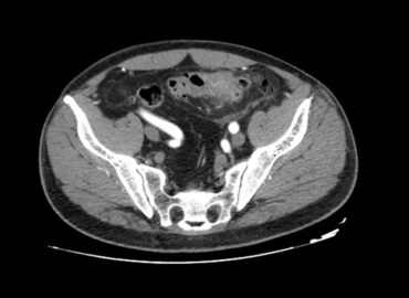
Paciente femenina de 51 años, DBT tipo II. Dolor colico hemiabdomen inferior izquierdo
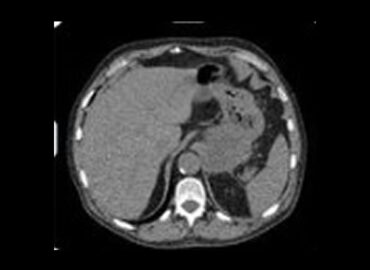
Paciente masculino de 66 años de edad. MC: Dolor abdominal de curso subagudo, intenso, en epigastrio. EX. Físico: Abdomen […]
Paciente de sexo femenino de 37 años de edad, la cual refiere dolor en codo.
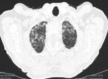
Paciente de sexo masculino de 68 años de edad, que consulta disnea CF III y tos con expectoración sanguinolenta […]
Sexo femenino de 35 años APP Ca de cuello
Masculino 17 años HAF
Hombre de 70 años consulta por tos y disnea CF II.