Sociedad de Radiología y Diagnóstico por Imágenes de la provincia de Córdoba
Octubre 2024. Instituto Cardiológico
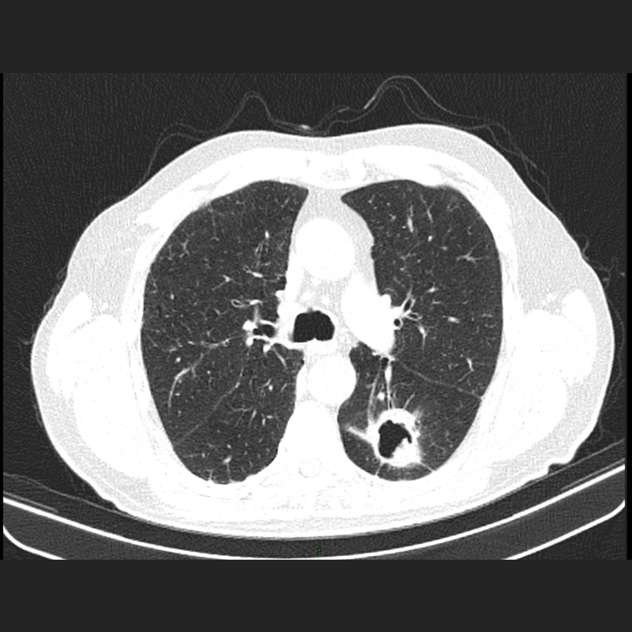
Paciente de sexo masculino de 75 años de edad, con app de IAM, ACV isquemico y adenocarcinoma de colon con tto qx, consulta con servicio de neurologia para control y dolor cervical