Skip to content
SORDIC
Sociedad de Radiología y Diagnóstico por Imágenes de la provincia de Córdoba
Inicio
Institucional
Comisión Directiva
Historia
Estatuto
Socios
Actividades
23º JORNADAS DE RESIDENTES
Taller de Presentación de Casos
Curso bienal
Taller de residentes
Congreso Internacional
Cursos
Servicios
Costos y honorarios
Boletín de novedades
Campus Virtual
Videos de congresos
Novedades
Contacto
Buscar:
Buscar
Octubre 2024. Hospital Privado
Inicio
Projects
Octubre 2024. Hospital Privado
Octubre 2024. Hospital Privado
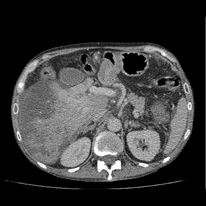
Mujer de 54 años con dolor epigástrico
Navegación de entradas
Agosto 2024. Hospital San Roque
Octubre 2024. Hospital Privado