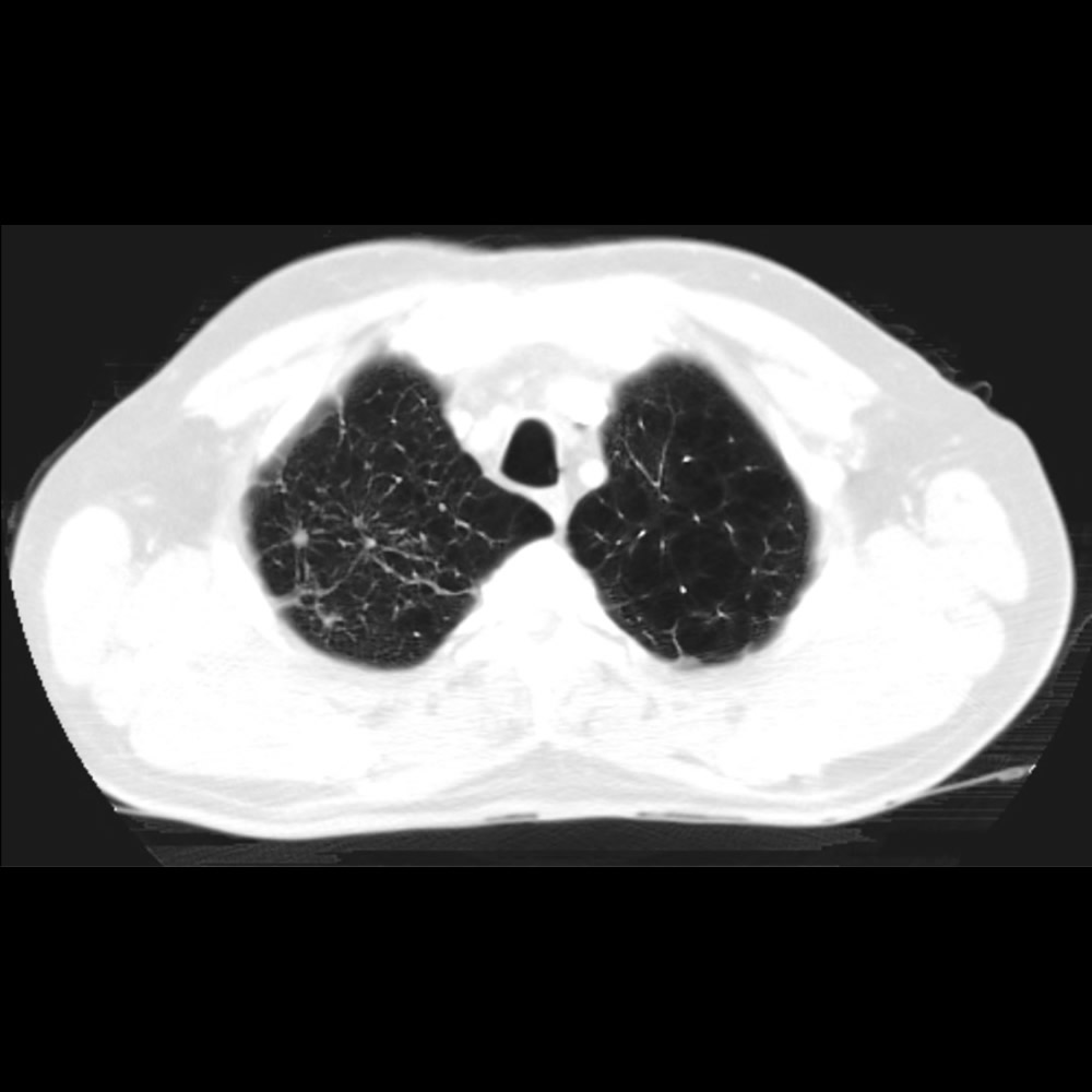
Noviembre 2024. Sanatorio de la Cañada Masculino 76 años. Control tomográfico anual de nódulo pulmonar