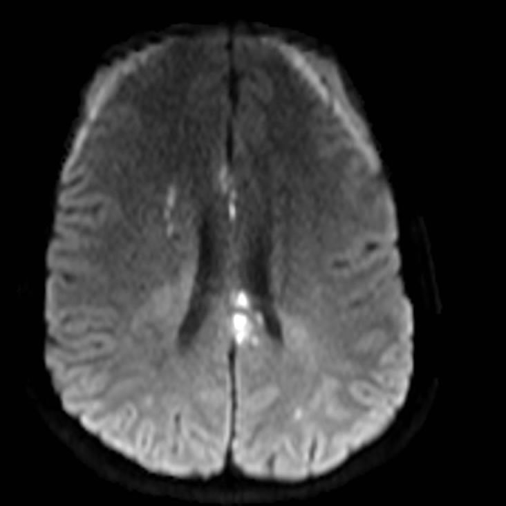
Noviembre 2024. Sanatorio Allende Paciente femenina de 16 años de edad sin antecedentes que consulta por síndrome confusional