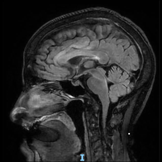
Mayo 2025. Sanatorio Allende Paciente femenina de 71 años de edad con antecedente de cáncer de mama en tratamiento, consulta por fiebre y comienza con deterioro del sensorio.