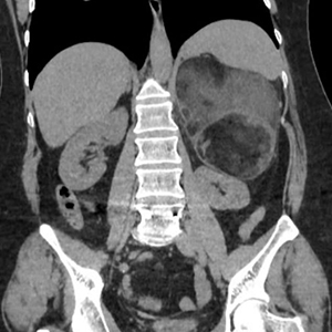
Agosto 2025. Sanatorio de la Cañada Pte femenino de 52 años, Mc: dolor abdominal difuso, App: hta, Mh: Losartan, A qx: osteosíntesis lumbar.